top of page

Schedule Your Appointment Today!
Maintaining a healthy smile is important.
Call 815-744-1774 today to
schedule your dental appointment.
.png)
.png)
.png)
.png)
.png)
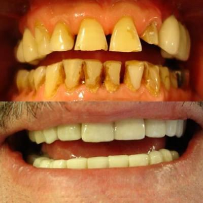
Before & After
Explore the stunning results of our expert dental treatments through this visual journey. Witness the remarkable improvements in smile aesthetics and oral health, showcasing the before and after effects of our professional care. From enhanced alignment to brightened smiles, see how our dedicated team delivers exceptional results that speak volumes.

.png)
.png)

.png)
.png)
Before & After (Children patients)
bottom of page